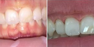
Payment and Health Fund Options
Understanding your options for health fund coverage and payment arrangements can help make your dental care easier to plan. Our team is available to provide guidance and answer any questions you may have.
- We accept claims from all major health funds.
- Payment arrangements may be available for patients who wish to manage the cost of treatment over time.
- Our team can provide information about payment options and help you understand your health fund coverage.